インプラント症例1
43歳男性
初診時平成17年8月
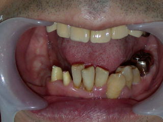
虫歯も歯石もひどく、歯肉は炎症を起こし、口腔内状態は劣悪でした。



保険内診療で歯石を取り、保存不可能な歯を抜歯し、詰め物、かぶせ物も終わりました。
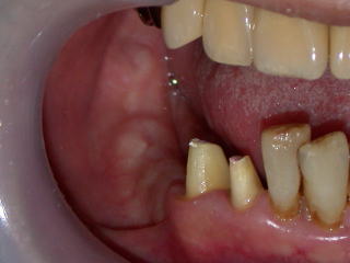
約半年後の平成20年2月、右下に入れ歯を作るところまで診療が進みました。
患者さんから入れ歯はいやなのでインプラントにしたいとの申し出がありました。

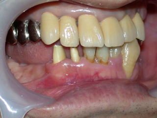
抜歯した穴も十分治り、仮歯、インプラント植立の固定用仮歯の用意もでき、次回インプラント植立します。

患者さんの希望により全部セラミックスの白い歯を入れることになりました。
インプラント植立費用150.000円とセラミックス5本(87.000円×5本)で
合計585.000円(消費税は不要です)の予定です。
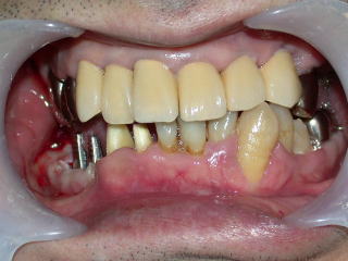
平成20年3月、インプラントの植立を行いました。

上下の隙間(補綴スペース)や近遠心、頬舌関係を良く調べます。
顎の上下関係、全体の位置付けも重要です。

目視で良く確認、レントゲンで位置をさらに良く確認します。
インプラントの位置が、良い位置に植立されたのを確認し、4糸縫合しました。

インプラント固定用の仮歯を装着し、抗生物質などを処方し、インプラント植立を終了します。

