症例3
平成20年2月14日、初診のレントゲン写真

インプラント植立1週間後の平成20年2月29日に縫合糸を抜いて型取りをします。
事前にインプラント植立する左側の咬合負担を軽くするために、上と右下の義歯の咬み合わせを高くしてあります。
歯肉の形状は、歯肉がコブ状で不整形ですが、いずれ平坦で滑らかな形状となります。
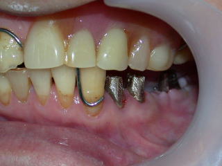
上下の補綴スペース(上部構造物:セラミックスや金属の冠の入る隙間)を確認します。

再び仮歯を付けてインプラントの固定を兼ねます。

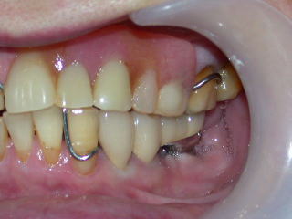
平成20年3月、上部構造物4本を装着しました。
頬側面観です。

咬合面観です。

舌側面観です。
構造は白金加金製の金属フレームに、セラミックスを焼き付けてあります。
金属だけよりも審美性に優れ、セラミックスだけよりも耐久性は向上しますが、製作手順が複雑です。
歯科技工士の熟練した技術が必要となり、金額も高めです。

歯肉の状態は前回型取り時より平坦化して、炎症も治まりつつあります。
口腔内に試適し、色や形なども患者さんに確認してもらいます。

咬み合わせの状態をチェックし、装着します。
次回、セメントが完全硬化後、再度咬み合わせなどををチェックし、歯間ブラシを主にブラッシング指導を行います。

今回のインプラントをしばらく使っていただき、調子がよければ、左上、右下もインプラントを希望です。
右下5番目が保存不可能ですので抜歯予定、インプラント植立は半年ほど先の予定です。
左上前歯部はインプラントを植立し、ロングスパンのブリッジが折れないようにして、入れ歯から固定式に変更する予定です。
セメントが充分硬化した翌日、インプラント周囲を主にしての歯ブラシ指導に来てもらいました。
歯ブラシだけでは良く磨けないので、歯間ブラシを併用して、衛生的に保ちます。
末永くインプラントが機能するためには、定期健診と歯科衛生士によるプロフェッショナルケアが必要です。
