平成20年3月
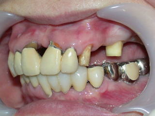
インプラント植立当日の術前です。

左上を予定しています。


今日はこのようなタイプを植立します。

入りました。

レントゲンで位置の確認をします。
縫合します。


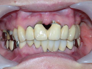
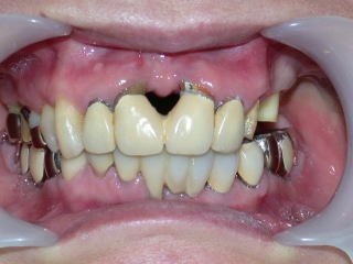
仮歯を付けます。

咬み合わせの調整もしっかりと行います。

抗生物質、消炎解熱鎮痛剤、含嗽薬を処方して今日は終了です。
