症例6:60歳代女性(新潟県長岡市要町 要町歯科 インプラント)
右下6番欠損です。
「入歯」というイメージが嫌で、またブリッジで複数の歯を削るのも嫌とのことです。
色々考えた上で、患者さんはインプラントを選択されました。
植立後約半年間、しっかりと固定するまでの待機期間中に手前右下5番のメタルボンドが外れてしまいました。


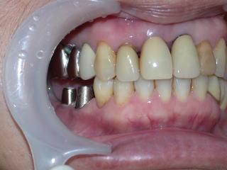
ヒーリングアバットメント装着。
外れた右下5番も一緒に治療します。

ガム模型上でカスタムアバットメント作製。
インプラントにカスタムアバットメント装着。
手前は通常通りメタルコア装着。

上部構造物ができました。

右下5番6番を装着しました。

予定外の手前5番脱離もありましたが、患者さんには大満足していただけました。
