症例7:60歳代女性(新潟県長岡市要町 要町歯科 インプラント)
右上6番とブリッジを形成していた支台歯の右上4番が歯根破折し、抜歯後約半年が経過しました。
本人が、義歯ではなく再度ブリッジを希望していましたので、抜歯後の右上4番にインプラント植立しブリッジを作製します。

植立縫合し6ヶ月ほど待ちます。
粘膜を切開し、ヒーリングアバットメント装着。
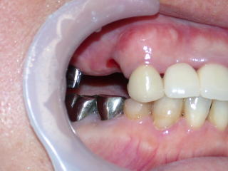
粘膜も綺麗に治癒し、インプラントと骨がしっかり固着しましたので補綴処置に入ります。

カスタムアバットメントができました。
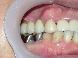
上部構造物もできました。

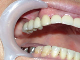
インプラント支台のブリッジです。

右上6番のインプラントは10年以上経過しています。

患者さんにも充分満足していただけました。

