症例8:60歳代女性(新潟県長岡市要町 要町歯科 インプラント)
インプラントとブリッジを構成していた左下4支台歯を抜歯しました。
約半年待って左下4にインプラントを植立しました。

その後半年、粘膜下でインプラントが骨と良く結合するの半年間待ちます。
歯肉を開窓しヒーリングアバットメントを装着し、1週間程、歯肉治癒を待ちます。

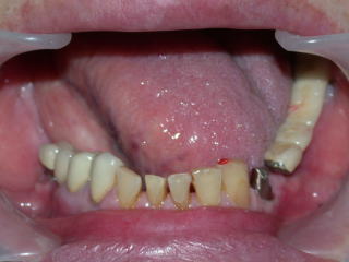
歯肉が綺麗に治りました。

上部構造物の作成に入ります。
インプラントトランスファーを装着した状態です。

アバットメントを装着します。

上部構造物装着です。
こちららの患者さんは他にインプラントを入れています。
「インプラントは費用がかかるが、それでも義歯よりとっても良い、義歯はとてもガマンできない。」そうです。

