症例9:50歳代女性(新潟県長岡市要町 要町歯科 インプラント)
右上1、2、3が義歯ですが、見た目、装着感、発音など色々の不満があり、インプラントを希望しています。
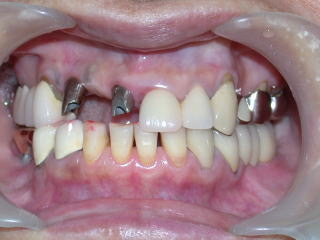
こちらの患者さんは下顎両側臼歯部にもインプラントを入れており、インプラントの良い点をご自身で感じています。
唇側の骨が薄く、一部インプラントが骨外へ出ましたので人工骨骨補填材で覆います。

粘膜内で、インプラントが骨と良く固着するまで、約6ヶ月ほど待ちます。
レントゲンを良く見ながら粘膜開窓し、ヒーリングアバットメントを装着します。

この状態で2週間ほど経過しました。
アバットメントの方向位置が狂わないようにジグを当てて、アバットメントを装着します。

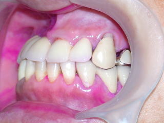
上部構造物作製、試適、調整し装着しました。
今後は1ヶ月おきにメンテナンスに来院していただき、経過を見て行きます。

患者さんは、義歯の不満が全て解除され、大変満足されており、当方も嬉しい限りです。
その後2ヶ月経過、メンテナンスに来ていただきました。


