高校生男子の反対咬合(新潟県長岡市要町 要町歯科 歯科矯正 歯列矯正)
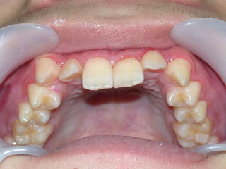
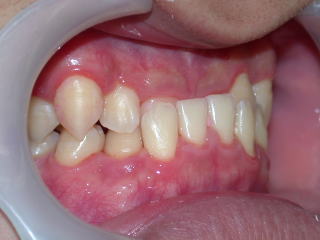
初診は平成23年2月(高校1年生男子)

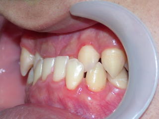
上の前歯が全く見えないほど下の前歯がかぶさっています。


下あごを思いっきり引いて咬み合わせても、前歯がぶつかってこれ以上咬み込めません。
ブラケットを装着するとブラシングがしにくく、歯肉炎も注意が必要です。

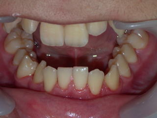
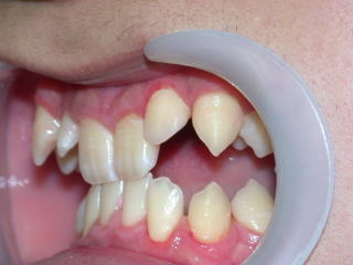
平成23年9月、反対だった咬み合わせは改善し、本人もお父さんも喜んでいます。
徹底した歯ブラシ指導で歯肉炎も改善しています。



平成24年12月28日(高校3年生)、装置除去しました。



約2年でここまで改善、本人とご家族様にも喜んでいただき、当院としても嬉しい限りです。
→
