平成28年10月25日、クラスプレスデンチャー装着



旧義歯装着時、上の左右犬歯(糸切り歯)にかけてある金属製のバネが気になっていたそうです。



クラスプレスデンチャー装着時、金属製のバネはピンク色のウイングに変わり、唇を下せば入れ歯であることは分かりません。
  


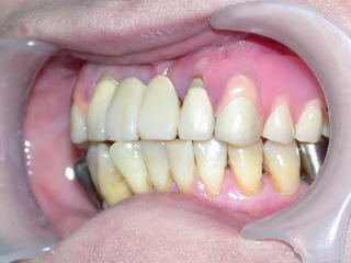
大きな口蓋隆起(外骨症)があるので、床外形は馬蹄形にしています。
薄くピッタリと装着できるので、活舌も良くなりました。