2021年10月、クラスプデンチャーを装着しました。


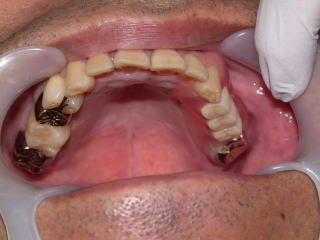
左上にクラスプレスデンチャーを装着しました。
  

1度保険の義歯を装着しましたが、違和感が大きく使用していません。
クラスプレスデンチャーは薄くピタッと吸いつき、違和感はかなり少なくなった、とのことです。