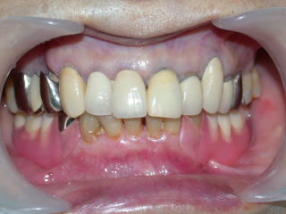
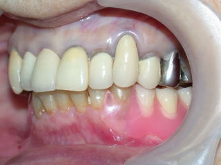
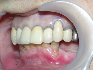
平成28年8月27日、下顎にクラスプレスデンチャー装着


来院時は他院で作成の義歯は痛くて、良く咬めず、義歯未装着でした。
  


クラスプレスデンチャー装着時、薄くピッタリと吸い付く様な感じで、良く咬める様になったとのことです。