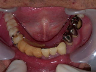
平成29年2月6日 下顎のみクラスプレスデンチャー装着しました。


上の前歯は最近抜けて旧義歯に増歯しています。
下の前歯は数年前に抜けて旧義歯に増歯したままです。
今回、上下義歯とも綺麗に治療したい、とのことでした。
 


上の義歯は健康保険で作成した総義歯です。
下の義歯はバネのないクラスプレス義歯です。