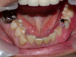
平成29年3月17日 下顎にクラスプレスデンチャー装着しました。


左下臼歯部は義歯未装着でした。
右上は以前に作ったクラスプレスデンチャーです。
今回もクラスプレスデンチャーを希望されました。
  

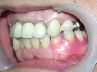
臼歯3歯欠損ですと通常は床を反対側まで回しクラスプ(金属バネ)をかけるのが一般的設計です。
当然、下顎前歯を床が通り、舌感や活舌は悪化します。
ノンクラスデンチャーのウイングは面で歯牙を捕捉するため、片側のみの設計でも安定感抜群で、目立たなく審美性にも優れています。