平成29年3月18日 下顎にクラスプレスデンチャー装着しました。
初診時、上顎は無歯顎でしたが義歯は未装着でした。
下顎は保存不可能な3歯を抜歯しました。
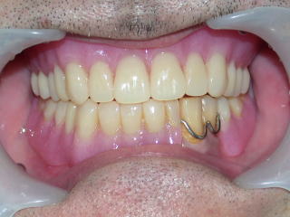
下顎の顎堤の回復を待って健康保険にて上下顎義歯装着しました。
しかし、上顎は義歯の厚みによる不快感、下顎は金属バネの見た目の悪さと義歯のぐらつきで、患者さんの満足を得られませんでした。

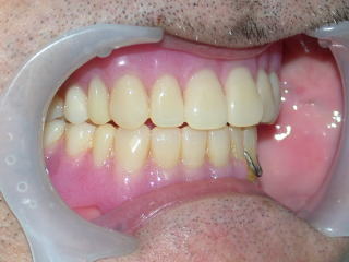
患者さんと費用も含めて相談の結果、上顎は金属床としました。
下顎はクラスプレスデンチャーを装着し、患者さんの満足を得ました。

上顎は健康保険適用外の金属床です。
薄く作ることができ、舌感や活舌が向上します。
また食事も、金属は熱電伝導性が良いため、レジン保険義歯に比べ、熱い食事は熱く、冷たい食事は冷たく感じ、美味しくいただけます。
金属床は歯科精密鋳造の高度な技術が必要、金属を使用するなどの要因かあって、クラスプレスデンチャーなどより非常に高価になるのが欠点です。
