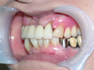
平成29年4月1日 上顎にクラスプレスデンチャー装着しました。


術前、右上の犬歯の歯根露出や、左上の犬歯にかかる金属のバネが目立ち、患者さんも気にしています。
  

クラスプレスデンチャー装着時、右上の歯根露出部はピンク色のウイングが覆い目立ちません。
左上の金属のバネはなくなりましたので、左右の犬歯の審美的は大幅に向上でし、患者さんの満足を得ることができました。