成人矯正、「一部の反対咬合と過蓋咬合」(新潟県長岡市要町 要町歯科 歯科矯正 歯列矯正)

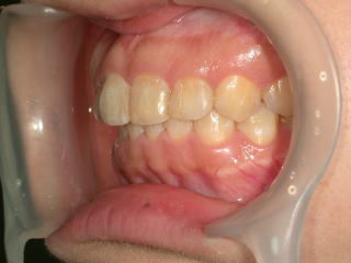
患者さんは20代前半の女性です。

ご覧のように右上の二番目の歯の噛み合せの改善を主訴として来院されました。
良く観察しますと、噛み合わせが深く下の前歯が見えません(過蓋咬合)。
歯列が台形にゆがんでいます。
それらも含め改善するため矯正を始めました。

平成14年6月15日
                         

   

                         



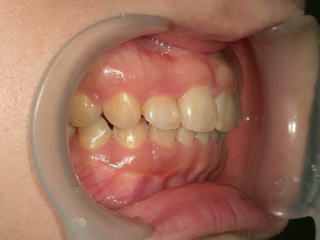
右上前歯の歯並び、過蓋咬合、歯列のゆがみも改善されました。
平成15年12月12日 
                         
 
     
 
                         

平成16年3月26日記載