成人の歯列矯正、「上顎前突」(新潟県長岡市要町 要町歯科 歯科矯正 歯列矯正)

患者さんは20代後半の女性です。
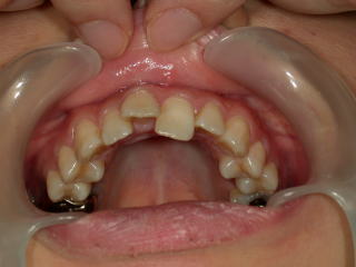
上顎前突という状態です。上顎が前に出ており、一部叢生もある状態です。
患者さんは非抜歯を希望されました。
初診は 平成14年10月3日です。
  
                          

     

                         



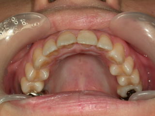
治療途中の平成15年4月1日です。
                        

                         
治療後です。
もう少し上顎を引っ込めたかったのですが、いろいろの事情により
今回はここで装置を外しました。約1年でした。
平成15年10月28日
                          
                                   
            

                         
平成16年3月25日記載 





定期的に来院していただきチェックしているため、全く崩れがありません。平成17年3月26日記載