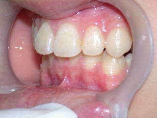
小学生高学年女子の上顎前突(新潟県長岡市要町 要町歯科 歯科矯正 歯列矯正)
平成23年8月26日初診
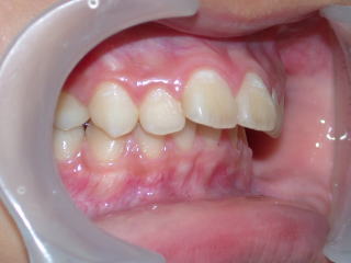
第一小臼歯4本抜歯症例




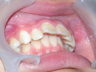
平成25年12月18日装置撤去前(中学生になりました)




その後装置除去



