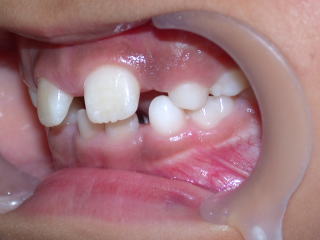
小学生低学年の正中離開男子10(新潟県長岡市要町 要町歯科 歯科矯正 歯列矯正)


初診平成25年8月24日
                        

  

                        

装置装着2週間
                        

平成26年7月28日