成人女性の空隙歯列弓12(新潟県長岡市要町 要町歯科 歯科矯正 歯列矯正)


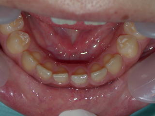
術前平成25年2月12日、いわゆるすきっ歯が気になるそうです。
                        

  

                        

術後を予測するセットアップモデル。
  



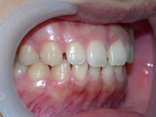
平成26年8月8日