小学校低学年女子の反対咬合(新潟県長岡市要町 要町歯科 矯正)
初診平成20年2月1日
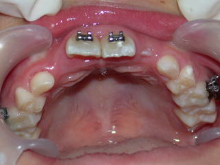
永久歯前歯の咬み合わせが反対です。
非抜歯症例




矯正装置装着平成20年2月22日



装置除去平成22年3月13日
第一大臼歯までの歯列が完成しました。
ご本人、ご両親にも充分満足をいただき、施術者としても嬉しい限りです。



