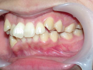
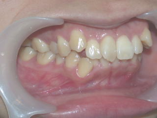
2022年7月25日初診、20代女性の叢生症例 (新潟県長岡市要町 要町歯科 歯科矯正 歯列矯正)
前歯のデコボコが気になる、とのことです。



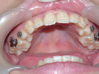
2023年9月11日



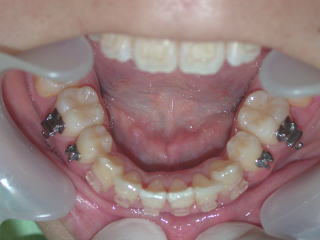
2024年2月20日



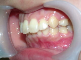
2024年5月15日装置除去



術前術後
2022年7月→2024年5月(2年弱でした。これから保定期間に入ります。)
→
![]()