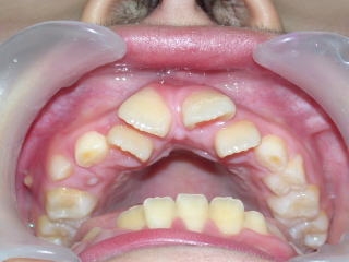
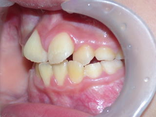
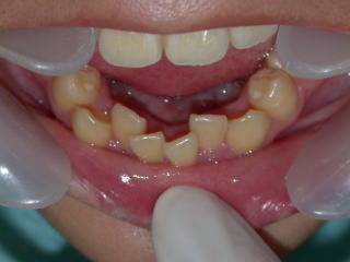
小学生高学年女子の叢生(新潟県長岡市要町 要町歯科 歯科矯正 歯列矯正)
初診平成22年3月5日



装置装着平成22年4月2日
保護者との相談で今回は上のみ、という事で始めました。

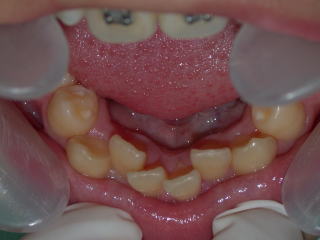
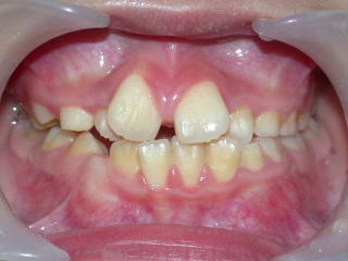
平成24年6月20日




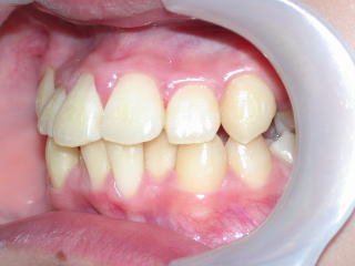
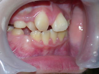
装置除去平成25年8月9日
下はかなりデコボコでしたが、ご本人、保護者とも満足とのことです。
本人、保護者の希望により、下は触らず、上の装置を外しました。



