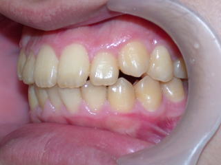
小学生高学年の叢生男子(新潟県長岡市要町 要町歯科 矯正)
初診平成20年11月15日



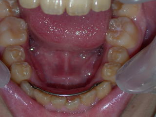
装置装着(まずは上のみ)平成20年12月6日



平成21年12月5日




平成22年1月30日



平成23年10月22日


