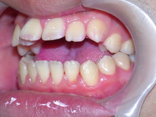
中学生の開口男子(新潟県長岡市要町 要町歯科 矯正 )
初診平成22年8月28日



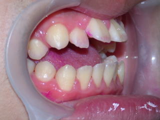
平成23年9月17日(第一小臼歯4本抜歯症例です)



平成24年6月9日、だいぶ閉じてきました。



装置除去平成25年5月1日



完全に閉じました。

