小学生高学年の上顎前突男子(新潟県長岡市要町 要町歯科 歯科矯正 歯列矯正)
初診平成20年12月12日



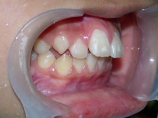
ピンボケですが真横から見るとこの様な感じの前突感です。

装置装着平成21年1月6日


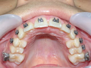
平成21年12月4日



この後、本人、保護者も満足されました。
下は触ることなく、上の装置は除去しました。
