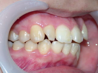
高校生の叢生女子(新潟県長岡市要町 要町歯科 歯科矯正 歯列矯正)


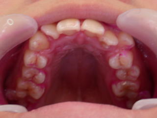
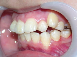
術前平成24年1月6日
患者本人、上の叢生は気にならない、下のみ直したい。
母親は上下を直したら、と勧めています。

                        

  

                        



今回は本人の希望で下のみ、治療しました。
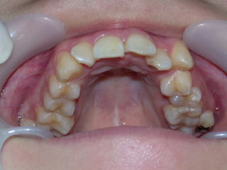
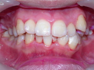
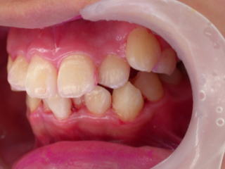
平成25年2月12日。