小学生高学年の上顎前突女子(新潟県長岡市要町 要町歯科 歯科矯正 歯列矯正)
初診平成23年10月21日
出っ歯感、ガタガタ感が気になるとのことです。
まだ、混合歯列ですが第一小臼歯抜歯予定、了解を得てから始めます。
施術者としては第一大臼歯は抜かなくて済むものならば、抜きたくないと思っています。

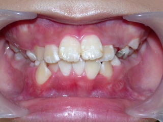
前突感、ガタガタ感を強く感じます。

右下2、3は重なって叢生感も強く感じます。

永久歯前歯の上下関係は前突と叢生です。

平成26年1月6日
混合歯列から永久歯列に交換しました。
まだ第一小臼歯は抜歯していませんし、下は装置すらつけていません。
この状態で患者さん保護者さんには満足をいただいています。
このまま非抜歯、下装着なしで完了すれば、時間と費用が節約できます。
見えるところ、目立つ所は綺麗に並んでいます。

下には多少のガタガタ感があります。

前歯の上下関係も良好です。

平成26年7月29日、左上5番が180度捻転して萌出してきました。
ご本人保護者とも全く気にならないとのこと、もうしばらく様子をみて、装置撤去予定です。



