小学生低学年の反対咬合女子(新潟県長岡市要町 要町歯科 歯科矯正 歯列矯正)
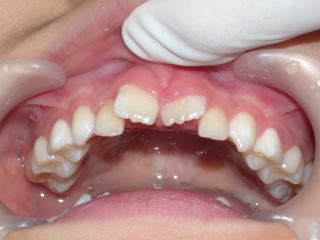
初診平成25年8月6日、わずかに咬み合わせが反対です。
翼状捻転もあります。



平成25年9月14日装着。

平成26年7月28日、両側側切歯も反対咬合なので、追加矯正治療が必要になります。
両側側切歯萌出したら始めます。

