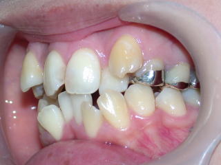
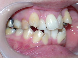
成人叢生2女性 (新潟県長岡市要町 要町歯科 矯正)


初診平成26年4月11日


                        

  

                        



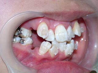
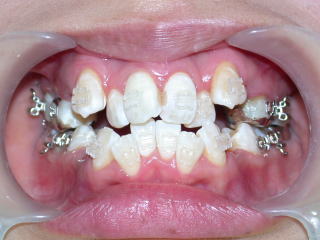
平成26年5月17日、抜歯後、ブラケットセット