歯科補綴(ほてつ)について
よく患者さんから、歯を抜いたらどうやって入れるのか、聞かれます。
大きく分けて、ブリッジと入れ歯に別れます。
今回は、ブリッジに付いて写真で説明します。
ブリッジはいわゆる「橋」の意味です。歯の抜けた部分の両隣を歯台(橋脚)にして、結ぶことにより歯の抜けた部分を補います。
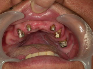
こちらは50代の患者さんです。
前歯2本と左上の奥歯の途中がありません。右の上は奥に全く歯がありませんので入れ歯になります。
下は以前から入れ歯が入っています。
→
→
前歯が入りました。
奥歯を入れずに、奥歯のないまま放置しますと、前歯に負担が掛かり過ぎ、耐久性が劣ります。
こちらは20代の患者さんです。前歯がありませんので入れました。
→
見た目を考慮して仮歯をその場で作り、入れます。
→
材料及び設計の点で、こちらは保険がききません。保険適合になるためには材料と設計の2点をクリアーしないといけません。
対合歯(かみ合わせの相手方)は基準にはなっていません。
→
