姫ちゅの掲示板に下記のようなお問い合わせがありました。実際にお口の中を拝見していませんので情報不足であり、厳しい状況ではありますが一般論ということでお話を進めさせていただきます。
では、ちゅ〜先生、どうぞ!?
問い合わせ内容は、次のようです。
「左上5〜7番目、左下7番目、右上2〜3番目が冷たい水で
しみるような感じの痛み...虫歯ですよね?
あと、僕はタバコを吸う前から歯の色が黄色い感じなんですが
「ホワイトニング」を薦められました。
効果や費用は如何なものでしょうか?」
相談者の年齢がわかりませんが、現在の症状がしみる=冷水痛だけだということであるならば
一番可能性が高いのは根面露出によるシミ(知覚過敏)ではないでしょうか?
年齢的に30代以降から多くみられます。
まったく実質欠損(虫歯の穴、歯ブラシによる削れ、外傷などによる歯牙破折、加齢による咬耗)がなければ、
塗り薬を概ね1週間に一度、4〜5週行い様子を見ます。
3枚目の写真は薬を塗っているところです。
塗布後はなるべく薬が拡散しないよう30分以上は飲食禁止です。
オレンジ色の薬はいずれ取れてあとかたもなくなります。
大概の症例で完治、もしくは症状の改善が見られます。
乳歯に応用する進行止めとは異なり黒く着色はしません。安心ですね。
もちろん効果がなく、神経を取らなければいけないケースも稀にありますが、
常時自発痛がなく、冷水痛のみであり、さらに実質欠損がなければ
知覚過敏の処置をお勧めします。
次の可能性は根面露出に楔状(クサビジョウ)欠損がある場合です。
小さい場合はレジン(白いプラスチック)を詰めて、
さらにしみ止め(知覚過敏)処置を行うこともあります。
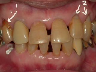
上の写真の2枚目の1が楔状欠損の大きいものです。詰めると2の様になります。
さらに神経が生きている歯に大きな銀歯が入っている場合、金属の熱伝導性が天然歯に比べると大きいため
しみる原因になっていることもあります。
ミラー像、一番奥の歯 その作業模型 銀歯の厚みが分かりますでしょうか?
奥から二番目の歯 その作業模型 夏になると自然にしみが止まることも多いです。

まったく見当違いでしたらごめんなさい。
平成16年3月17日記載
昭和47年生まれの患者さんです。
左側の上下の奥歯の外側がしみます。
良く観察しますと、左下の5番目(第二小臼歯)の歯は根面が露出し、歯肉との境目のところに、歯ブラシで削れたと思われるくさび状欠損があります。
6番目(第一大臼歯)も、根分岐部(手前の根と後ろの根の股の部分)が露出し5番目同様削れています。
上の奥歯には特に実質欠損は見当たりません。しかし、根にはエナメル質のカバーがないので露出しますと何の虫歯がなくてもしみるケースは多いと思います。
下の2本はレジン充填をし、しみ止めを塗りました。
上の歯は、特に詰め物はせず、しみ止めのみ行いました。
術前 下は2本詰めたのですが分かりますか? しみ止め塗布

平成16年3月18日記載