ホワイトニング、ブリーチング、歯牙漂白など歯を白くするには色々な方法や呼び方がありますが、ほぼ同意語としてご理解頂いても構わないと思います。
まずここでは診療室で行うオフィースホワイトニングに付いて取り上げます。
患者さんは30代の女性です。
歯の色が黄色いので何とかしたいという主訴で来院されました。
歯科で色を見る時にシェードガイドという物を使います。いわゆる色見本です。
術前ではA3.5のような色の感じでした。
3枚目写真は歯肉を保護しながら施術しています。紫色の薬が歯肉に漂白剤が付着するのを防ぎます。
しかしながら多少は歯肉に損傷(歯肉が白く変色している部分)が出ます、翌日まで痛みが残ったり、痛み止めが必要なほどではありません。
少しヒリヒリするといった程度の物です。
歯牙表面に載っている紙に漂白剤が染み込ませてあります。
漂白にかかる時間は
1回当たり漂白剤塗布5分、プラズマライト照射、漂白剤放置5分など、その他を含め20分位かかります。
これを1日に3回行いますので1時間以上はかかります。
さらに、この処置を1週間に一回の割合で3〜4回行います。
ですから合計12回から16回の漂白処置を行います。
平成14年7月22日
切端(先の方)はA1〜2位まで白くなりました。
平成14年8月3日
タバコ、コーヒー、お茶のどの嗜好品、色素の強い飲食物に左右されますが、後戻りをしますので定期的なメンテナンスが必要です。
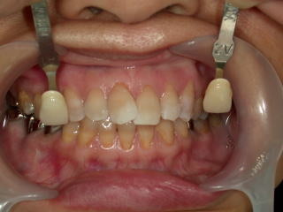
こちらの患者さんは20代の女性です。右上の1番目は瀬戸物の差し歯です。

漂白後は大分黄色味が取れました。もちろん差し歯には効果はありません。
こちらの患者さんは20台の女性です。
平成15年2月24日

来院する時間が取れないとのことで、ホームブリーチングで行いましたが、余り効果がありませんでした。
それ故オフィスブリーチングをお勧めしたのですが、その後の来院はなく、結果として漂白の効果は駄目でした。