スポーツマウスガードのお話(平成19年6月5日)
新潟県歯科医師会発行のパンフレットです。

裏面です。

長岡歯科医師会発行のパンフレットです。

マウスガードの作成方法は@バキューム法、Aラミネート法、BロストWAX法などがあり、順番に高額となっていきます。
要町歯科では一番費用の安い@バキューム法のみ取り扱っています。
※バキューム法とは、1枚のシートを軟化して真空吸引して作る方法です。
型取りから装着・調整までの費用は消費税込11.000円です。
健康保険は適用されない自費治療ですので、全額自己負担となります。
色は白、黄色、緑、黒、オレンジ、蛍光緑、蛍光オレンジ、蛍光青、蛍光黄色、クリアがあります。
ただし、審判が装着を確認しにくいクリアは、競技では使用不可(マウスガードとして認められない)の場合があります。
作製前に競技を管轄する団体に確認することが必要です。
スポーツマウスガードを装着したからといって、全ての事故を防げるというものではありません。
事故予防に充分気を付けてスポーツを楽しんでください。
●実際の作成例●
●見附市の成人男性30歳代前半、歯牙の保護目的です。
スポーツはゴルフ他一般スポーツです。
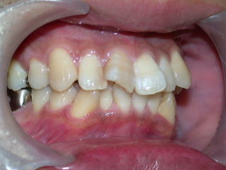
前歯2本に翼状捻転が見られ、以前のスポーツで右上1番切端破折し失活、若干の変色も見られます。



1週間後に完成です。
患者さんの希望で、色はクリアーを使いました。


●長岡市内の高校生女子、唇に右上犬歯がぶつかって頻繁に切れる、とのことです。
スポーツは硬式テニスです。



色は本人の希望により黄色で作成しました。


口腔内に装着しました。



●柏崎市の成人男性30歳代前半、歯牙の保護目的です。
スポーツはアイスホッケーです。

色は本人希望により黒で作成しました。

口腔内に装着しました。

