初診平成19年3月3日(新潟県長岡市要町 要町歯科 歯科矯正 歯列矯正)



石膏模型です。

少し閉じてきました。平成19年6月12日。



下からのぞくとまだまだです。

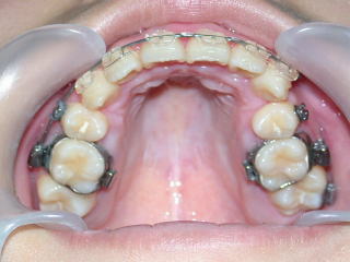
平成20年10月18日。
まだ途中です。



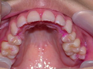
平成21年8月1日、
装置除去しました。



本人もご両親も大変満足しています。
今後は歯ブラシ指導&リテーナーチェックで定期的に来院いただく予定です。
