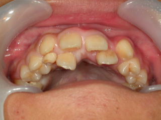
平成17年11月7日 初診 中学生男子(新潟県長岡市要町 要町歯科 歯科矯正 歯列矯正)



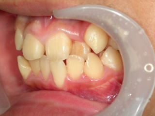
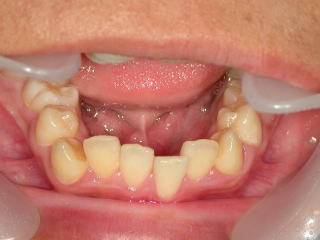
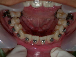
平成18年7月18日 大体並んできました。



かみ合わせも多少深くなって安定してきました。
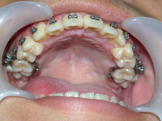
これ以上装置を付けたままだと虫歯の発生、歯肉炎の増悪が危惧されるので
装置を外すことを考えています。平成19年6月12日



