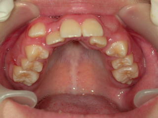
平成18年3月4日 初診 中学生女子です。(新潟県長岡市要町 要町歯科 歯科矯正 歯列矯正)



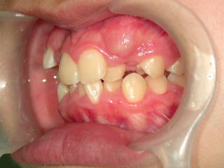
平成18年7月25日 矯正装置装着



平成18年10月14日 だいぶそろってきました。



平成19年5月19日 安定してきました。



初診平成18年3月4日 現在平成19年5月19日
→
